Your Smile, Our Commitment - Expert Dental Care in Kharadi, Pune.

It is a long established fact that a reader will be distracted by the readable content of a page when looking at its layout.

About Us

Dr Anand Sabnis is an avid practitioner of ethical dental services

He completed his graduation fron SMBT Dental Collage, Sangamner. After graduation he worked as an associate dental surgeon with different superspecialities in dentistry for 2 years. After 4 years of huge experience with great mentors in dental field, he founded Sabnis Dental Care.  Simultaneous with building loyal clientele at Sabnis Dental Care, he also helped developing Dental department at Sahyadri hospital Nagar road ( Maharashtra’s largest chain of multispeciality hospitals) as one of the head dental consultant over 2 years. 

He is working with Meadowlark Healthcare Pvt Ltd, Fatimanagar as a head of the department. Cosmetic dentistry is one of his special interest since he is into dentistry.  His aim is to protect your natural teeth as long as possible and to make your smile healthy & beautiful. Sabnis Dental Care offers a wide range of dental treatments. We provide a gentle dental care in calm and pleasant atmosphere to patient maintaining strict hygiene standards.

Service

High Quality Service For You

Surgery

  • Oral And Maxillofacial
  • Pulpectomy

Services

  • Conservative Dentistry
  • Laser Dentistry

Therapy

  • Oral Rehabilitation

Procedures

  • Ceramic Crowns and Bridges Fixing
  • Composite Bondings

Treatment

  • RCT (Root Canal)
  • Maxillofacial Prosthetics
  • BPS Dentures Fixing
  • Wisdom Tooth Extraction
  • Dental Implant Fixing

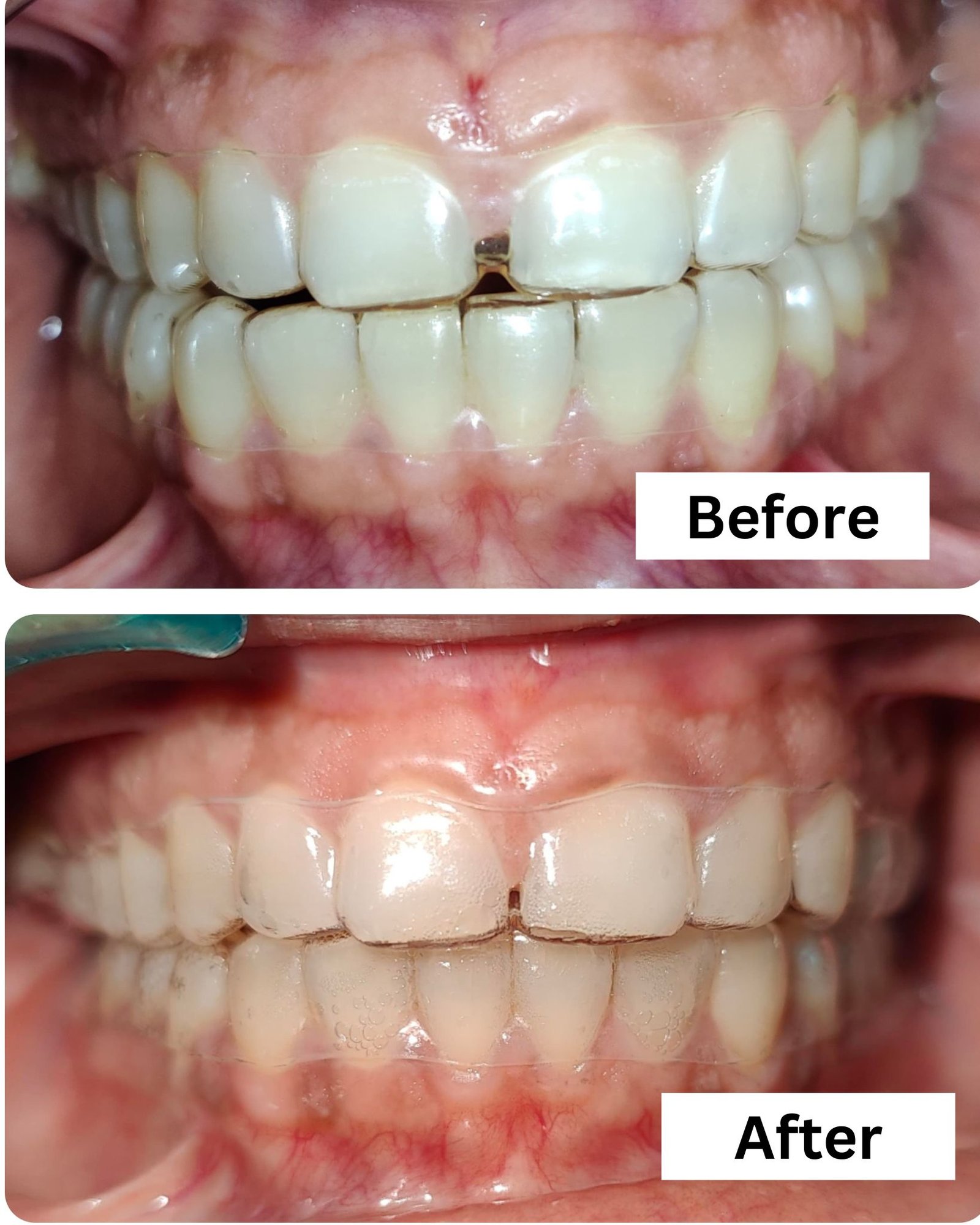
Work

Our Satisfied Results

instrument & Labs

Get Best Result

Team

Our Team Experts

Dr Frequency Bambole

 (Associate Dental Surgeon)

Dr Swapnil Sabnis

(Oral & Maxillofacial Surgeon)

Dr Kunal Pawar

(Orthodontist)

Dr Pravin Walunjkar

(Oral Surgeon)

Dr Rahul Rahinj

(Pedodontist-Child Specialist)

Dr Manish Oswal

(Prosthodontist)

Dr Anuradha Sabnis

 (Prosthodontist)

Testimonials

Our patient Most Valuable Words

[google-reviews type='slider' place_info='true' style='7']

Get Service

Book Appointment

[forminator_form id="247"]

Email

anand@sabnisdentalcare.com

Contact Us Free

+91 9665501911

Scroll to Top
Open chat
Hello
How Can we help you?